Before & Afters
There’s nothing better than seeing patients step into their confidence and glow in their new smiles. Each transformation reflects honest conversations, personalized care, and the natural, wellness-focused approach Dr. Rosenthal brings to every treatment. Whether it’s veneers, whitening, or bonding, every smile tells a story of feeling brighter—inside and out.

Smile transformations that help you glow with confidence
Explore our gallery to see how thoughtful, customized cosmetic care can make a meaningful difference. From subtle enhancements to full smile upgrades, these transformations show what’s possible when comfort, artistry, and honesty come together. Ready to start your own glow-up? We’re here to guide you every step of the way.




Front Veneers

.png)
SureSmile Case


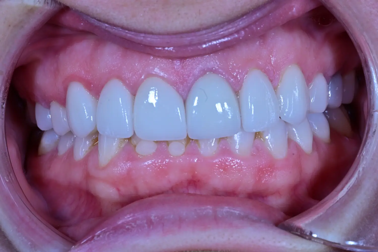
Replacing old crowns and adding veneers to the posterior teeth to achieve a wider smile


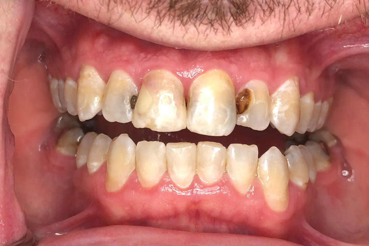
Replacing old crowns


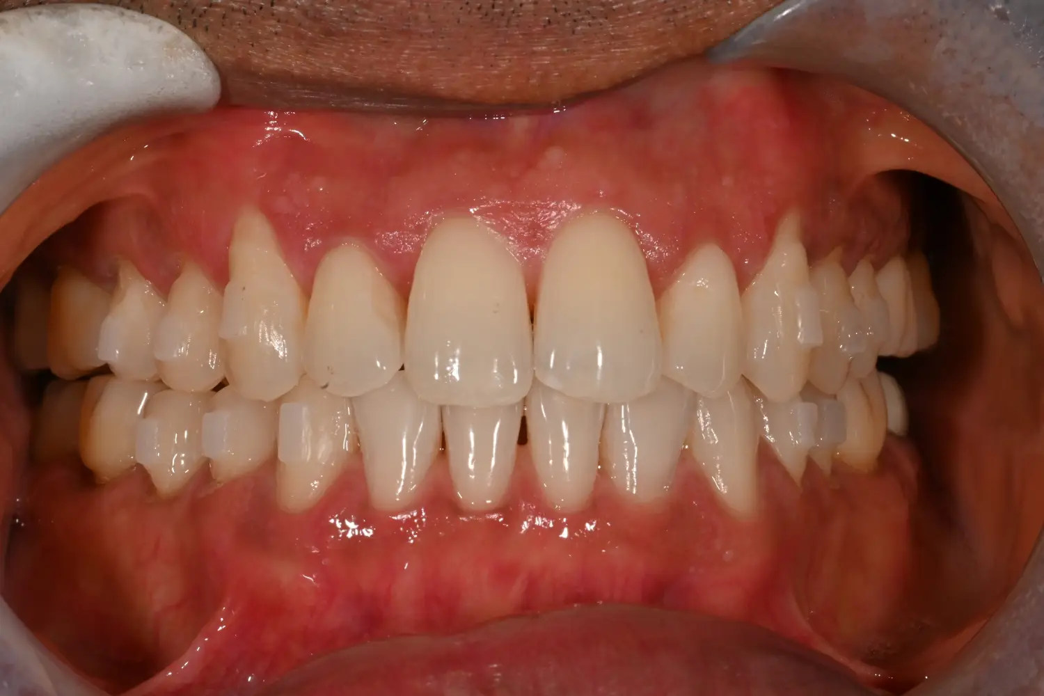
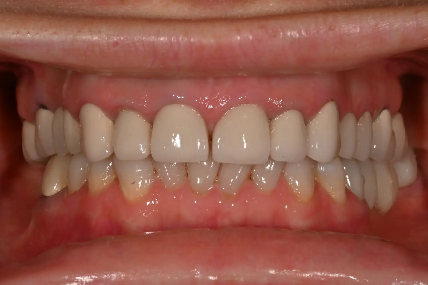
4 front crowns


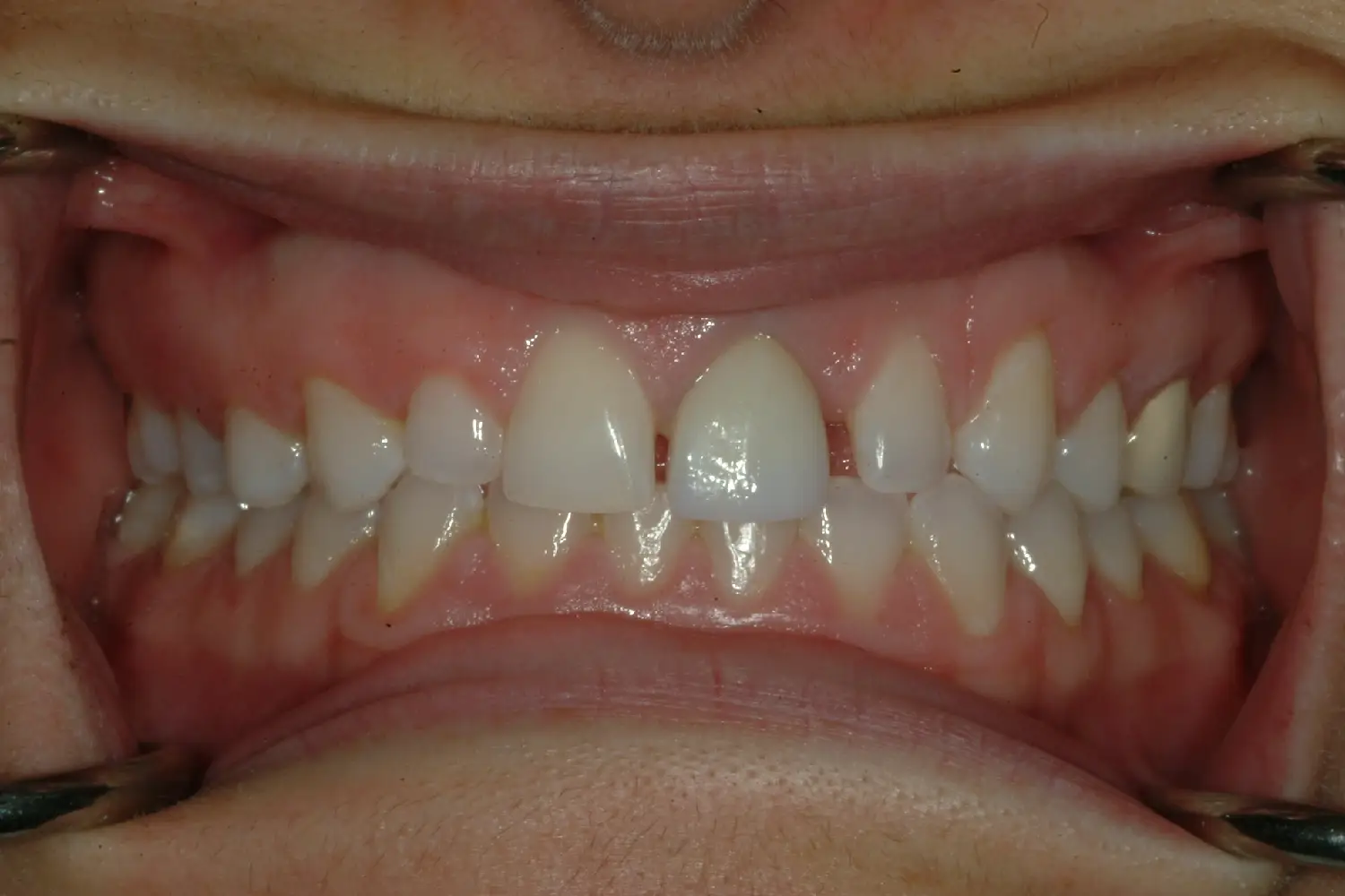
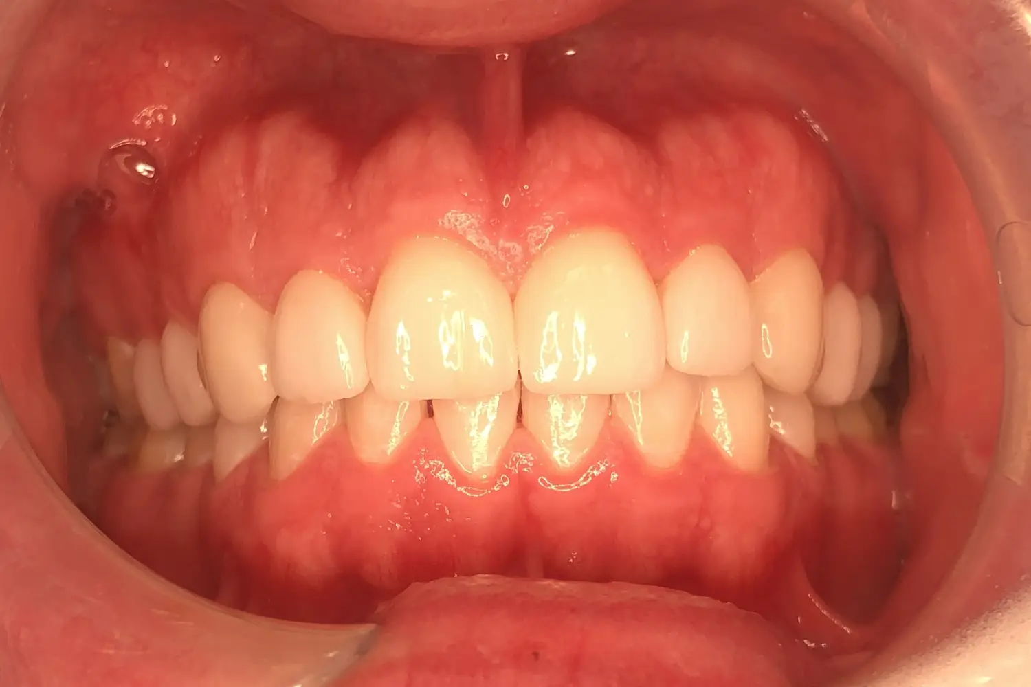
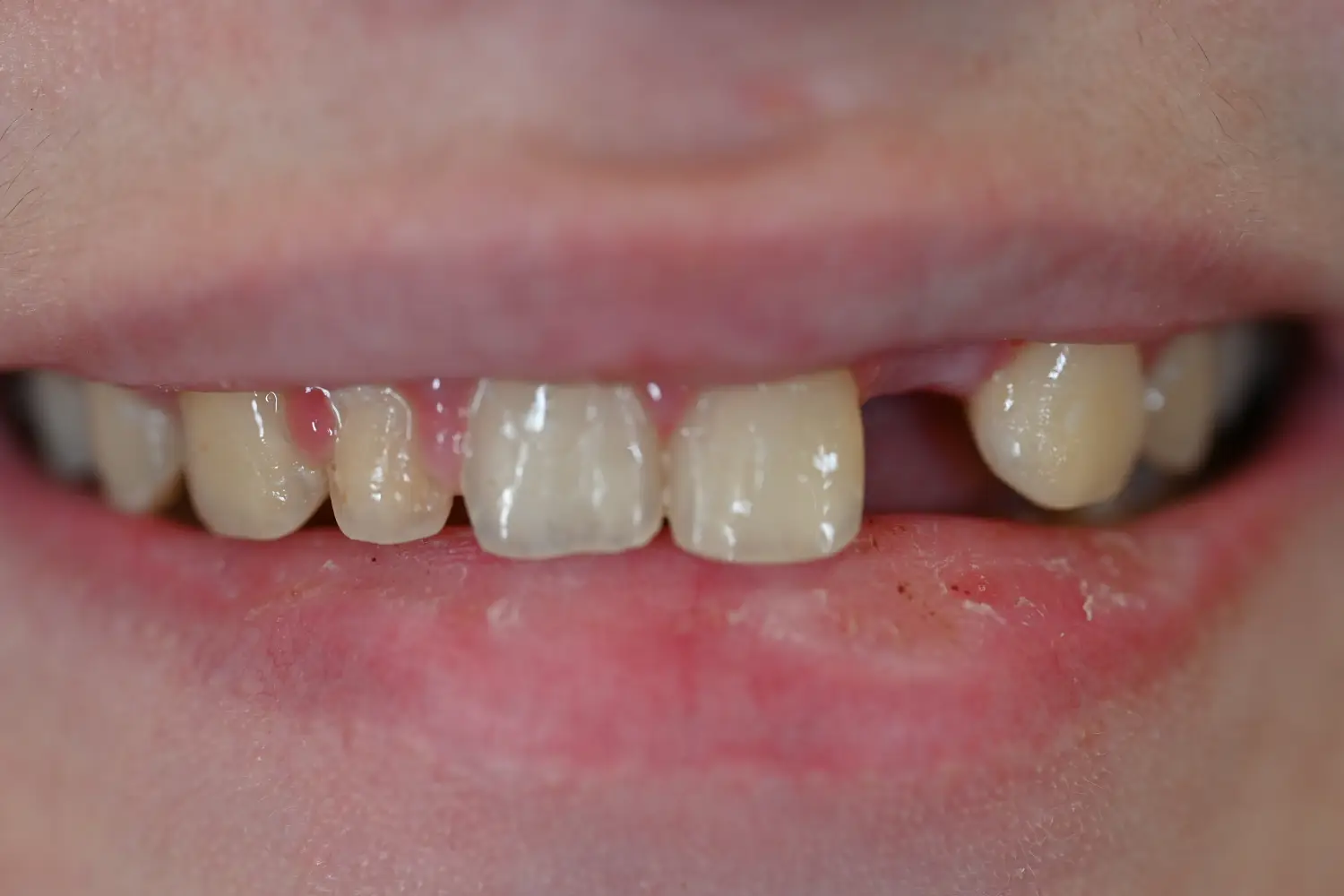
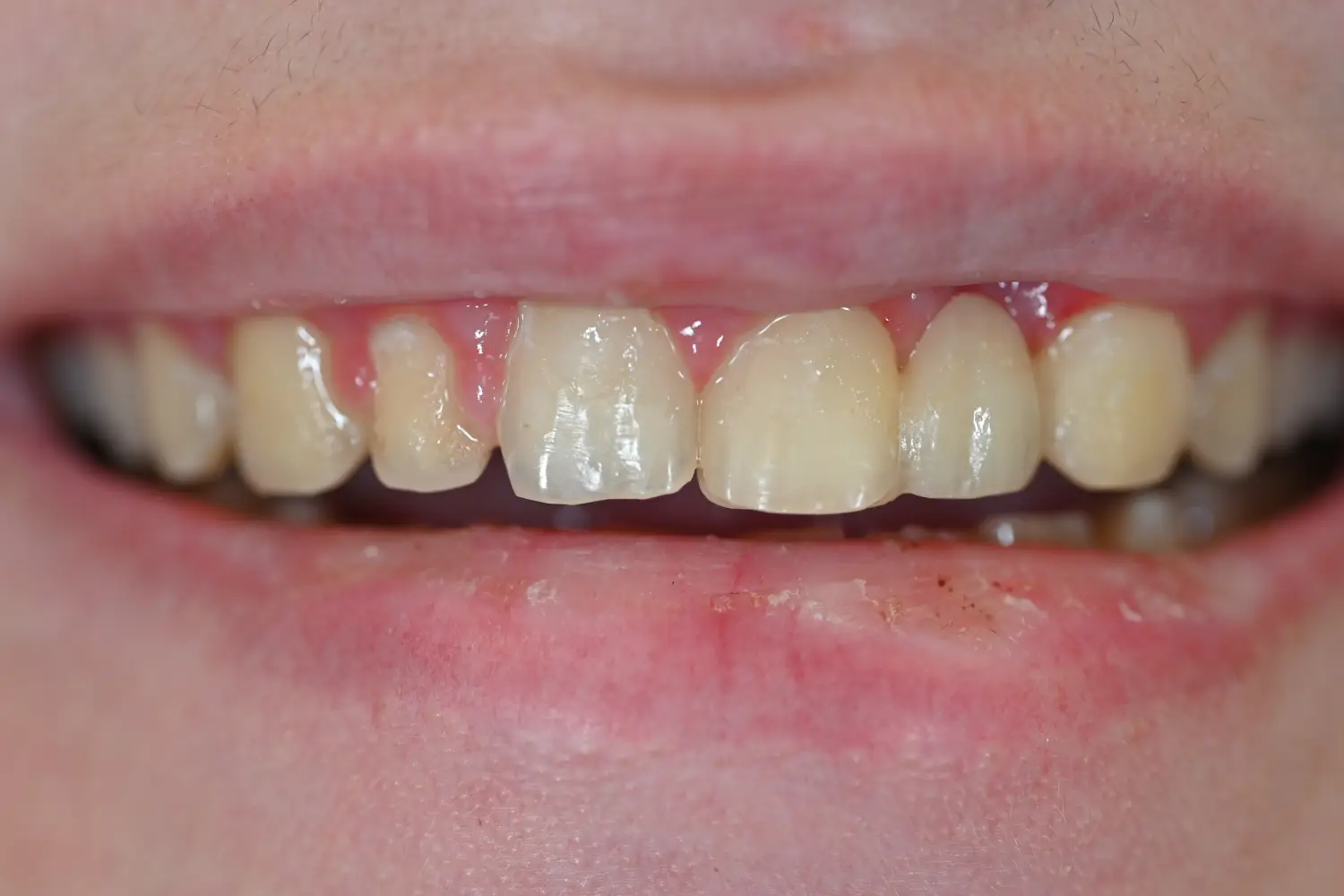
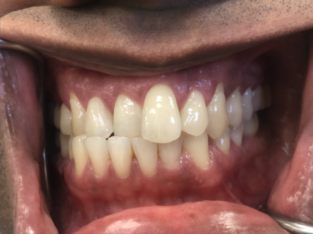
Replacing a missing tooth and crowning the front teeth


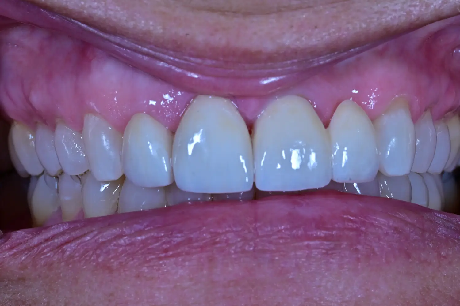
no prep veneers
.webp)

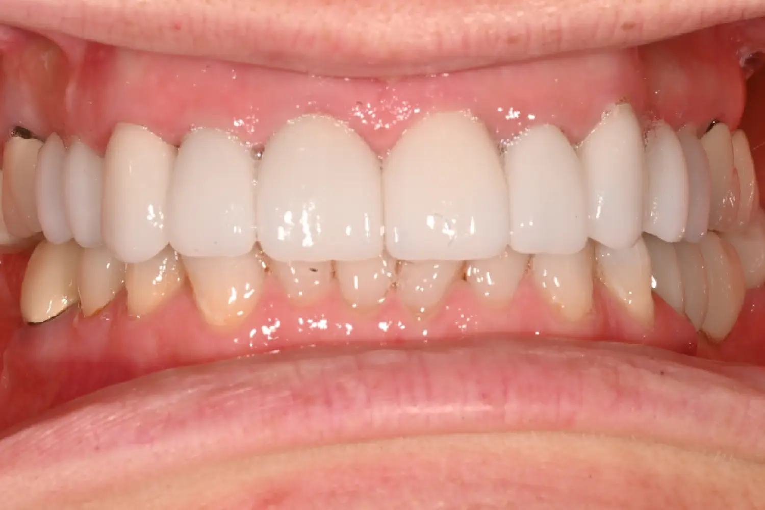
Replacing a missing tooth with a Maryland Bridge (Rather than an implant)
